您现在所在的位置:>首页 > 生活 > 正文
女人底下长什么样图(自己的下牙大部分都松动了,这是怎么回事)
发布时间:2022-09-18 15:38   浏览量:23

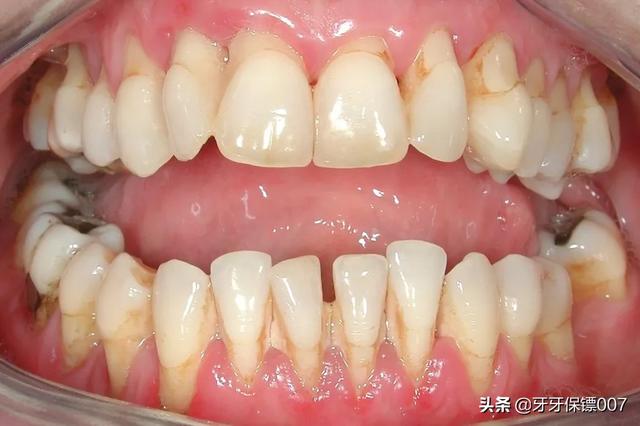
下牙大部分松动了,排除外伤因素,那么大概率是患上了牙周炎。牙周炎的牙齿,牙槽骨发生吸收,牙龈炎症明显,严重时甚至发生牙周袋溢脓,牙齿明显松动。此外,炎症波及牙根周围时,会引起逆行性牙髓炎,导致明显的冷热刺激痛。

下牙大部分松动,原因是什么

口腔多颗牙发生松动,排除外伤等因素,大部分都是牙周炎的原因。

01.什么是牙周炎

牙周炎,顾名思义就是牙周周围的组织发生感染,分为硬组织牙槽骨和软组织牙龈、牙周膜等。值得区别的是,牙龈炎并不等于牙周炎,牙周炎也并非由牙龈炎导致。两者的区别是有没有附着丧失,牙周炎的牙齿一般会有明显的深牙周袋。

02.牙周炎有什么表现

牙周炎的表现,有多种多样,常见的临床症状以下几种。

  • 牙龈炎症

牙齿周围炎症明显,往往伴有增生、明显红肿等情况,进食时可能有出血等情况,严重时牙周袋会有脓液渗出,甚至引起急性牙周脓肿,带来明显的疼痛不适。

  • 牙齿松动

牙齿松动,这是很多牙周炎患者就诊的主要原因。松动是因为牙槽骨发生吸收,牙齿失去扶持作用而松动。

牙周炎,怎么治疗

牙周炎的治疗是一个长期和系统的方案,需要患者克服困难和长期坚持。

简要总结如下:1.需要学习正确的刷牙、牙线或牙间刷的使用等维护口腔卫生的方法;2.进行全口洗牙,去除牙齿表面的牙结石、牙菌斑等;3.定期复查,视恢复情况对牙根表面的牙结石进行彻底去除,医学称为龈下刮治;4.针对恢复欠佳,仍有明显感染症状的牙齿进行牙周手术治疗;5.牙周症状控制后,针对缺失牙进行修复。

总结:口腔中发现多颗牙松动或移位时,大多都是牙周炎的缘故,需要及时就诊进行系统的牙周治疗。此外,还需要患者提高口腔保健意识,日常维护好口腔卫生。牙周炎引起松动的牙齿,若是感染不易控制,松动非常明显,那么可能需要拔牙才能有效控制局部炎症。总之,我们需要提高口腔保健意识,做到早预防、早发现、早治疗更有助于牙齿健康行使咀嚼功能!

标签:
黄体酮催经(黄体酮催经吗) 全身无力疲倦乏困(最近老是感觉浑身乏无力,犯困,整天都很累 甲减吃什么(甲减吃什么食物好) 超敏c反应蛋白偏高(超敏crp高是什么原因) 哪些食物能软化血管(喝白酒后手上青筋爆出是什么原因) 女人自己用手解决过程(大蟒蛇是如何生吞人的?难道人跑不掉吗 参苓白术散的功效(参苓白术散中药配方,是怎样的) 月经肚子疼(女生来大姨妈肚子疼怎么缓解疼痛) 脚气怎么传染(脚气会传染吗) 一个月最多能瘦多少斤(一个月瘦十斤正常吗)