您现在所在的位置:>首页 > 生活 > 正文
髓鞘化延迟(孩子髓鞘发育不良怎么办)
发布时间:2022-09-18 17:35   浏览量:19

髓鞘是由少突胶质细胞膜沿轴突缠绕而成的一种复合细胞膜,由双层类脂质构成。

中枢神经的髓鞘形成是从胎儿5个月时开始的,在新生儿、婴儿期发展最快,并可持续到成人或一生。髓鞘形成是个动态过程,脑白质各部分的成熟和髓鞘形成是有先后次序的。从尾侧向头侧,从中心向周围,从背侧向腹侧,从感觉纤维发育到运动纤维。髓鞘化完成是脑白质成熟标志。

小儿神经发育在不同的月龄,不同的年龄的髓鞘化程度是不一样的。

所以您问的问题还需要补充说明孩子的年龄以及目前孩子运动神经发育的评估情况,单纯的髓鞘化不良不一定就是大问题。

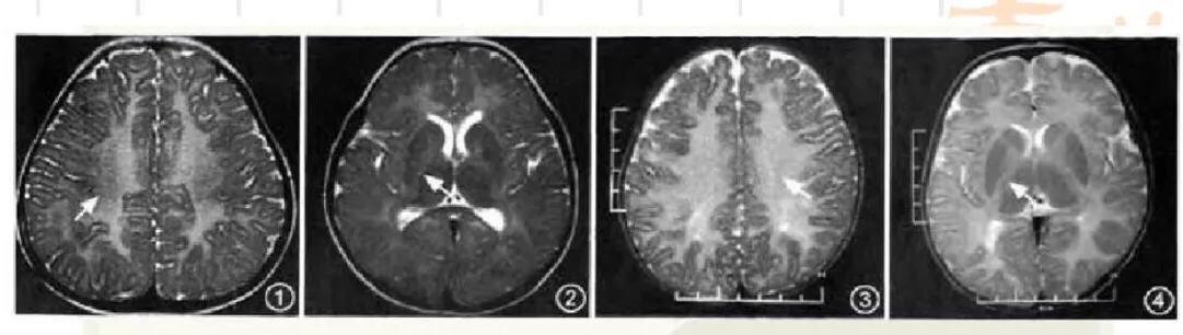
如果髓鞘化延迟特别明显,可以通过头部的磁共振判断髓鞘化的程度。如果神经髓鞘不能形成,或者显示髓鞘发育不良特别明显,同时有眼球震颤、肌张力低下、共济失调及进行性运动功能障碍,还要考虑佩梅病、Salla病等遗传病。

标签:
血糖低吃什么补得最快(血糖偏低吃什么好) 感冒睡不着(朋友说感冒了,难受的,睡不着,我该怎么安慰她 女生二次发育(在女人生完孩子后,会二次发育吗?有何依据) 怎么减体脂(体脂怎么减) 淋巴结怎么引起的(【淋巴结吃什么食物能消除】我长了淋巴结 外阴是哪个部位(阴蒂长在什么位置) 安宫丸不适合什么人吃(安宫牛黄丸适合什么人吃) 减肚子上的肉怎么运动(肚子好几环肥肉,如何通过锻炼减掉) 补肾的食物排名(补肾的食物有那些) 颈部丝状疣图片(脖子上长丝状疣抹什么药膏)