您现在所在的位置:>首页 > 生活 > 正文
深龋一定要根管治疗吗(蛀牙过深需要拔牙吗)
发布时间:2022-09-18 18:10   浏览量:23

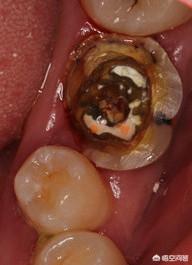
有些人总觉得其实早早的就发现了自己的牙洞,但是有没有什么症状,也懒得去管。后来开始发作了,觉得牙疼了,才想着去医院看。但往往觉得疼的时候,其实都已经晚了,已经龋坏到牙髓了。听到医生说光补牙已经解决不了了,还需要做根管治疗,做完根管治疗还要做个冠将牙齿保护起来。

听到这些,还有需要花费的金额,有些人就不想给牙齿进行治疗了,就想破罐子破摔,直接拔掉好了。其实真的没有那么简单,牙齿拔掉了,确实不疼了,但是还是得治!难道你以为拔了牙就可以了吗?

错,拔牙后,还得进行缺牙修复,不然缺失牙左右,以及对颌的牙齿都会向缺失牙的方向倒,两侧的牙齿往中间倒,上/下面的牙齿过长,长期不修复,很有可能会再失去三颗牙齿哦!而且缺牙修复的“牙”,也没有自己的真牙好,所以建议不要拔牙,先尽量去治疗,保留真牙。

标签:
孕妇可以吃鱼吗(怀孕可以吃鱼吗) 哮喘会遗传吗(过敏、哮喘会遗传吗) 肝不好前胸红痣图片(胸前背后有红痣是肝不好吗) 身上皮肤过敏图片(吃东西过敏了,而且身上起了好多痒痒包应该 枸杞芽茶的功效与作用(无果枸杞芽茶与枸杞叶茶有什么区别) 甲泼尼龙片的副作用(甲泼尼龙片(美卓乐)可以治什么病呢) 吃黄体酮催经要吃几天(黄体酮针一般打几天) 填充太阳穴多少钱(太阳穴玻尿酸填充多少钱) 脐带血有什么用(想知道储存脐带血的利弊有哪些) 甲状腺弥漫病变会自愈(甲状腺弥漫性病变能治的好吗)