您现在所在的位置:>首页 > 生活 > 正文
半月板撕裂保守治疗(半月板3度损伤,选择保守治疗能恢复吗)
发布时间:2022-09-25 02:23   浏览量:28

半月板损伤分度,是指膝关节影像学检查MRI显示半月板损伤程度——3度即是三级损伤

半月板撕裂的核磁表现对诊断和对选择治疗方案具有指导意义。

半月板损伤所谓的分级其实是核磁(MRI ) 的分级。MRI 是迄今为止诊断膝关节半月板损伤、交叉韧带断裂等阳性敏感率和准确率最高的影像学检查手段。

正常半月板在MRI中呈均匀的黑色,半月板损伤时可出现异常信号,具体表现为半月板形态、边缘、大小及其内部信号的改变。

半月板损伤的MRI分级

0级:正常;

一级:半月板内有点、球状或椭圆状信号增高影,未达关节面;

二级:半月板内线性的高信号,可延伸至半月板关节囊缘,但不延伸至半节面;

三级:半月板内线状或弥漫性高信号延伸至关节面,即半月板撕裂。

半月板撕裂表现复杂,正确判断半月板撕裂的部位、形态、类型对于临床手术方案的制定非常重要,MRI表现为一、二级为退变信号,比较常见,临床一般没有具体症状,不要为此而纠结。

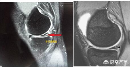
半月板三度损伤图

核磁出现三级信号者,一般有膝关节疼痛、有时伴有弹响、绞锁,急性期会出现肿胀等症状,建议尽早手术治疗。

保守治疗虽然可以起到消肿、缓解疼痛效果,但损伤的半月板无法愈合,活动后症状会反复出现,膝关节反复疼痛,而且磨损周围的软骨组织,导致膝关节损伤加重,下肢无力,影响运动能力。

诊断为半月板损伤并不可怕,半月板损伤虽然为不可逆、不能自愈,但目前采用关节镜微创手术治疗、手术技术成熟,大部分为半月板成形术(部分切除),仅切除损伤部位,尽量多保留正常半月板结构,少数患者选择手术缝合,对于损伤严重无法保留者全部切除,术后合理康复,术后功能可恢复。

有些人人对膝关节疼痛、半月板损伤诊断不清,对手术治疗有误区,盲目锻炼、用药,导致损伤半月板周围软骨磨损,延误治疗,症状加重,得不偿失。

欢迎关注运动损伤及康复相关问题并留言。

标签:
孕妇血糖标准(孕妇血糖值的最新标准是多少) 氨基酸洗面奶的缺点(氨基酸洗面奶的优缺点) 老饿是怎么回事(经常饿饭量大怎么回事) 苹果功效与作用营养(新西兰红玫瑰苹果有何营养价 胰腺癌怎么检查出来(胰腺癌怎样才能检查出来) 引产后吃什么恢复的快(引产后吃什么好,引产后饮食调理的方法 蒸猪肘子的家常做法窍门(清蒸猪肘子的最佳做法) 孕妇可以吃龟苓膏吗(龟苓膏是什么) 鱼腥草能治妇科病(鱼腥草做汤有什么功效) 拔完智齿什么时候最疼(刚拔完智齿要多久才不会