您现在所在的位置:>首页 > 生活 > 正文
膝盖积液图片(膝关节肿胀、有积液,我该怎么办)
发布时间:2022-09-25 04:28   浏览量:11

这种情况,首先怀疑是滑膜炎。


滑膜是什么?

滑膜可分为两层,即较薄而靠近关节腔的滑膜内层(即表层)和滑膜下层,表层主要有成纤维样滑膜细胞及巨噬细胞。在正常情况下,滑膜的主要功能为分泌关节液、润滑关节、营养关节软骨。关节液就像汽车的机油,能减少软骨与软骨之间的摩擦,起润滑关节的作用。

许多疾病(如创伤、结核、关节退变、风湿类疾病、细菌感染、肿瘤、手术等)可以使滑膜受到机械、生物、化学等刺激,引起滑膜组织充血、水肿、血管通透性增高,滑液过度分泌,吸收减少,从而导致关节肿胀,疼痛,活动受限等临床症状,这就是所谓的滑膜炎。如病变迁延不愈,关节滑膜长期受炎症刺激反应,逐渐增厚,且有纤维机化,引起粘连,影响关节正常活动,则形成。

滑膜炎了怎么治?

出现滑膜炎,关节局部会肿胀,皮肤温度升高,伴随疼痛及关节活动受限等临床症状。我们上面提到的引起滑膜炎的因素非常多,在治疗前当务之急是分门别类,鉴别诊断清楚。

对于急性期滑膜炎,需要制动关节如冰敷或抬高患者,口服非甾体类药物,降尿酸(高尿酸患者),外用药膏,关节腔内注射(适用于关节积液较多,张力过大的患者,可以抽掉关节腔积液或积血,局部注射得宝松或者透明质酸钠),必要时手术治疗(滑膜炎症是因为创伤因素或者游离体等引起)等等对症治疗。

对于慢性滑膜炎,既需要考虑原来的疾病,又不能忽视长期滑膜炎带来的并发症,如关节的功能障碍及肌肉萎缩,需要加强功能锻炼。


膝关节反复肿胀,炎症不消退,警惕绒毛结节性滑膜炎

色素沉着绒毛结节性滑膜炎(PVNS)实际上不是一种简单的滑膜炎,它实际上是一种类肿瘤的改变。常见于年轻人,主要累及膝关节(约70%)及髋关节(约20%)。根据一项历时17年的研究,在美国,每年的PVNS发病率估计为每百万1.8人,男性居多。相比之下,在中国,一项对237例患者的回顾性研究发现,女性居多

PVNS的特点是关节、肌腱鞘和囊内滑膜增生和含铁血黄素沉积。虽然确切的病因尚不清楚,但据报道创伤、关节内出血和炎症与该病有关。主要发病于膝关节,并且在膝关节部位可触及柔韧的肿块或面团感(触及增厚的滑膜呈海绵样,感觉积液多的可触及波动感),膝关节部位还会有弥慢性的痛,并且病情的后期可以导致骨质受到侵蚀,以及周围的韧带滑膜也会受到侵蚀。病人主要表现为关节部位的疼痛以及肿胀。磁共振成像(MRI)是临床上疑似患者的首选影像(显示大量的关节积液,而且是多处,多发)。

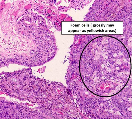
组织病理学或组织活检仍然是诊断的金标准(显微镜下可见单核滑膜细胞片与多核巨细胞、泡沫组织细胞混合形成的局限性病变,伴有局灶性含铁血黄素沉着)。

不论为弥漫性或局限性,患肢都有轻度的肌肉萎缩,关节穿刺可抽出血性或咖啡色液体,这种关节液很特殊具有诊断价值。这种患者的最佳治疗方案就是尽早进行手术,切除所有的病变组织。

标签:
牙套有几种图片(天津牙套有几种) 宝宝晚上不睡觉妙招(小儿夜不睡怎么办) 乳铁蛋白对宝宝副作用(想问下宝宝吃什么牌子乳铁蛋白好) 两边脸不对称怎么办(两边肩部的三角肌不一样大怎么办) 胎宝宝缺氧的3大症状(孕晚期宝宝缺氧有什么症状) 宫颈癌脓性白带图片(宫颈癌上身,有迹可循!出现哪3个早期症 肠功能紊乱能自愈吗(肠功能紊乱的治疗方法) 小孩包皮过长图片(婴儿包皮过长怎么办) 经常喝奶茶有什么危害(喝奶茶好对身体好吗) 十大常见疾病(十大疾病保险需要缴纳多少年)