您现在所在的位置:>首页 > 生活 > 正文
胆结石能排出来吗(胆结石有什么症状)
发布时间:2022-09-25 10:10   浏览量:14

胆结石就是生长于胆囊、胆管的结石,是结石的一种,除了胆结石以外还有肾结石、输尿管结石、膀胱结石等,不过胆结石较为多见。

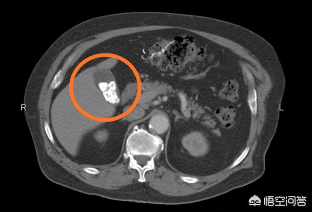
上图是一位胆囊结石患者的腹部CT图像,可以看到胆囊内(画圈)多发大小不等的高密度结石影。

胆囊结石是怎么形成的呢?有哪些症状?

胆囊结石的形成就是一些在体内溶解度低的物质在堆积到一定的量就会析出,形成固体的结石,胆结石的形成多是由于不按时吃饭、过食油腻等导致胆汁分泌紊乱,过多的胆汁不能排泄出去,就会形成胆结石了。

胆结石的症状表现实际上和胆结石的大小和位置有很大的关系。

胆结石在体积小的时候多是没有感觉的,或者在饭后或者吃的过于油腻之后有不适的症状,较大的胆结石多会有一个胆区也就是右上腹会有疼痛感,另外会有一些消化系统的症状,例如右上腹的腹胀疼痛,同时会有恶心、反胃、嗳气、不能闻油腻等症状。

胆结石发生在胆囊和胆管症状也是会不一样的,胆囊会有右上腹的压痛,并且易发生剧烈的绞痛,以及厌食油腻等症状;而发生在胆管的结石,多和蛔虫以及胆管形状异常有关,发病年龄一般较小,一般会有腹痛、发热以及黄疸的反复发作出现,但是部分患者不会有剧烈的疼痛。

胆结石除了本身的一个症状表现外,长期的刺激容易形成胆囊炎,甚至出现较严重的急腹症等,所以一定要及时的治疗。

治疗方式有手术治疗,也有保守疗法,各有利弊,要根据自己的实际情况及结石数量和大小,在医院肝胆外科医生指导下,选择适合的治疗方式。

标签:
产后42天检查有必要吗(宝宝42天体检什么呢?有没有必要去) 月经推迟几天属于怀孕(没有来月经是否代表怀孕) 肝痛是在哪个位置(肝痛是在哪个位置) 早产儿多久能发现脑瘫(造成脑瘫的原因有哪些) 心脏不好禁吃什么食物(心脏不好的人应该多吃哪些食物) 早期肺癌能治愈吗(早期肺癌手术后可以痊愈吗) 发烧能洗热水澡吗(感冒发烧洗热水澡好吗) 知柏地黄丸浓缩丸(几种地黄丸,分别都有什么区别) 三伏天泡澡的好处(三伏天多贴几次三伏贴能行吗) 全麻手术后注意事项(医生一般做完全麻手术后多久能吃东西啊