您现在所在的位置:>首页 > 生活 > 正文
全身petct检查多少钱(一次上万元的PET/CT真的有必要做吗)
发布时间:2022-09-25 10:12   浏览量:6

你好,我是影像技师vivi!意见供您参考

露珠认为你没有理解pet—ct的用途以及优势。如果对于普通人,我认为pet-ct是没必要做的。但是俗话说“A的砒霜,说不定就是B的蜜糖”。

希望做后续治疗的话,对于恶性疾病,比如说癌症病人,pet-ct非常重要。



大家都知道肿瘤非常容易转移,想肺、肝这种血供丰富的器官的癌症特别容易发生转移。万一在癌症已经转移的情况下做了手术,那对病人来说,几乎作用是微乎其微。不仅损伤了病人的免疫力,也没有达到根治癌症的目的。


因此像是北上广深这样医疗资源相对成熟的医院,都会建议手术根治癌症的患者术前做个pet-ct。针对全身查看是否发生了转移,一旦转移,就要马上改变治疗方案,不能采取手术了。


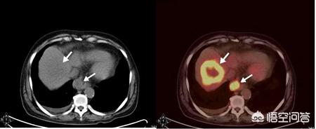
肝癌pet—ct 摄取图


那能不能不做pet-ct,直接做手术呢?


露珠当然也是遇到过这样的案例,身边有一朋友的了胃癌,在福建的医院里已经做好术前的评估,常规确认都没问题了,开刀了才发现已经腹腔(肚子)内大范围转移,医生看到了也不敢下刀切。因为切不干净,人现场的肉眼评估毕竟会有纰漏,这与医生水平没有太大关系。万一哪个病灶没处理完这个病人后续转移恶化就会进展很快...于是又把肚子给合上了。

广州/上海/杭州/成都/想预约影像检查,部分项目可打折。


有问题想问的请私信、留言或威信,我会尽快答复,只解答有礼貌的宝宝,谢理解。

标签:
女性什么时候绝经(女性一般多少岁绝经?绝经前,身体会出现什 心脏病能坐飞机吗(心脏不好能坐飞机吗) 前列腺是什么症状(前列腺疾病的症状有哪些) 肾结石能吃西瓜吗(肾结石的人可以吃西瓜吗) 上环好还是结扎好(剖腹产后上环好还是结扎好) 下肢肿胀是什么原因(下肢浮肿,是什么病症引起的) 牙齿有个洞补牙多少钱(补牙洞多少钱一颗) 手腕腱鞘囊肿最佳治疗方法(腱鞘囊肿该怎么治) 头皮脂溢性皮炎怎么治(头皮脂溢性皮炎怎么办呢) 着床出血能测出怀孕吗(着床出血就表示怀孕了吗)