您现在所在的位置:>首页 > 生活 > 正文
长智齿代表什么(智齿到底是个什么存在)
发布时间:2022-09-25 01:02   浏览量:12

智齿是人类的第三个磨牙,一般会在16至35岁之间长出,是人一生中最后长出的牙齿,因为此时期的人们生理和心智比较成熟,因此俗称为|“智齿”。



智齿在现在看来是没什么用处的,它是人类进化遗留的产物。

智齿生长在牙槽骨的末端,现现代人的牙槽骨因为食物越来越精细化,所以下颚骨在长度宽度等有不同程度的退化,也就导致没法提供智齿萌出的空间,这样可能造成智齿在萌出的位置、方向、高度上发生异常,所以也就容易出现健康问题,比如智齿难以清洁到容易滋生细菌、引发龋齿、牙冠损伤、牙齿不整齐等。

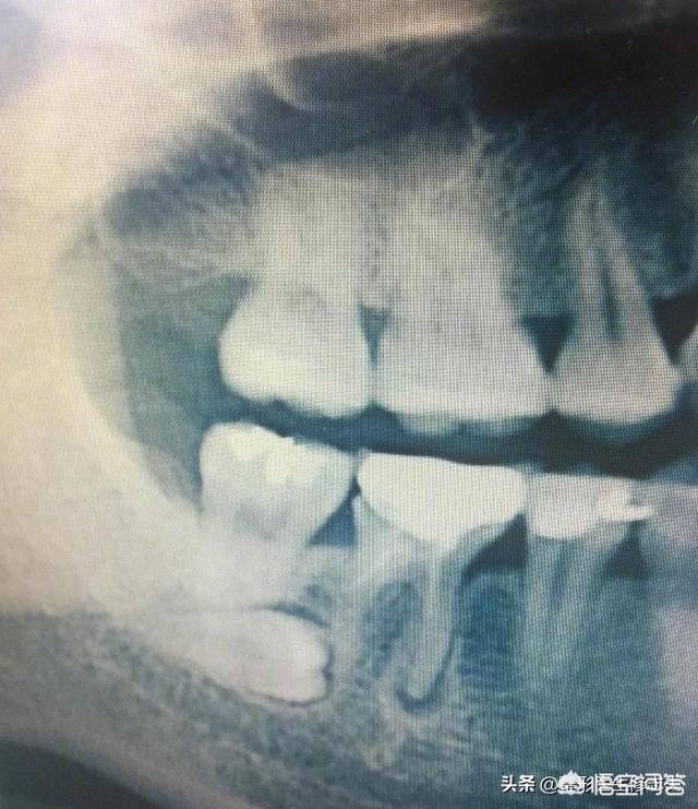
↓一颗横生的智齿

所以,如果长智齿或智齿出现问题了,一般建议到正规牙科进行拔除。

标签:
慢性结肠炎能活多少年(【慢性肠炎会不会癌变】结肠炎是否会癌 混合痔必须要做手术吗(混合痔怎么治疗,需要手术吗) 经常放屁的人注意了(常放屁怎么回事) 肾功能三项检查什么(入职体检要求做查血、胸透、心电图三项, 复方丹参滴丸的禁忌(复方丹参滴丸说明书) 嗜酸性粒细胞偏低原因(嗜酸性粒细胞偏低是怎么回事) 胸部疏通按摩正确手法(奶堵了有硬块怎么按摩) 怎么治灰指甲最快根治(你的灰指甲是怎么治好的) 松针泡水喝有什么功效(松树下收回来的松针,怎么快速利用) 缓解中暑头晕的小妙招(夏天中暑晕倒应该如何急救)